歯周病と聞いても、「よく分からない」「治らない」という方も多いかもしれません。
詳しい内容は当院の「歯周病の治療」でご説明させておりますが、実際にはなかなか治らず、お困りの方も多くいらっしゃると思います。
この機器を使うと、歯周病の原因菌を99.99%除去することが可能です。まさに“革命的”な治療法です。
もちろん、毎日の歯磨きや定期的なメンテナンスも大切ですが、ブルーラジカルを組み合わせることで、外科手術をしなくても治療できるケースが増えます。
(※ただし、症状が重度の場合や医師の判断によっては外科的治療が必要となることもあります。)
ブルーラジカル治療は保険診療ではなく自費診療になりますが、繰り返し行うことで効果を持続できます。
目安としては 半年~1年に1回程度の、治療をおすすめいたします。
そんなお悩みをお持ちの方は、ぜひ一度ご相談ください。
きっとその効果を実感していただけるはずです。

ブルーラジカルP-01は、3 %の過酸化水素と405nmの青色レーザーを同時に照射し、
ヒドロキシルラジカルを発生させることで、歯周ポケット内の細菌を99.99%殺菌する
最先端の歯周病治療器です。
重度の歯周病患者に対する新たな選択肢として、
全国の歯科医院で導入が進んでおります。外科処置を行わずに口腔細菌を殺菌し、
プラーク・歯石の除去を行うため、治療を短期間で完了することができます。
殺菌能力が高いため、再発防止にも効果的です。
※また人体に影響もございません。
※重度で進行している場合は抜歯になる場合もございます。
※開発者の菅野太郎(東北大学大学院教授)が解説を行いました(6月7日放送)
※論文と当院での治療例を元に阿部ヒロ理事長自ら解説して頂きました。

重度の歯周病になると口腔内細菌が存在する歯石の取り残しが増え、治癒が難しくなるので、外科処置を伴う場合があります。取り残した部分には、抗菌薬の投与といった副作用を伴う化学療法や抜歯になるケースもあります。

過酸化水素とレーザー照射によるラジカル殺菌技術により、
虫歯菌、歯周病を引き起こす口腔細菌を99.99%殺菌
歯石・プラークの除去および歯周ポケットの回復を行います。
人体に影響はありません。
この患者様は、口腔内全体において重度の歯周病が生じており、歯磨き指導、クリーニング、Flap手術等を行ったが、歯周ポケットが深すぎるためブルーラジカル適用症例と診断し、施術を行いました。
施術前のレントゲンと口腔内写真です。施術前にプラークの除去を行ってから、施術します。
深い歯周ポケットに青いレーザー光と過酸化水素水を照射し、患部を殺菌します。
※照射前と部位が異なりますが、照射直後は、歯茎が白くなります。これは、高い殺菌力が発揮され菌が死滅したことにより生じています。数日~1週間程度で消えます。
痛みは全くなく、気が付いたら終わっていました。また1週間程度経ったら、少しずつ歯茎が締まり出し、今まで腫れていた歯茎が正常に戻りだしたことを実感しています。
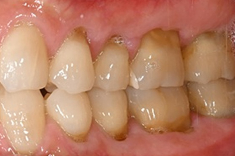
この患者様は、スケーリングより歯周ポケットが6mm以上ある患者様で患者様ご本人も歯周病になりかけている自覚がありました。また、口臭も気になされていましたので、ブルーラジカルの適用症例と判断し、施術を行いました。
施術前のレントゲンと口腔内写真です。
深い歯周ポケットに青いレーザー光と過酸化水素水を照射し、患部を殺菌しています。
市場平均価格 25,000円
1歯15,000円(+税)~
※施術時間 5歯以内は30分程度
※治癒は患者様のプラークコントロールが重要です。
全顎的治療など他にも治療プランをご用意しております。
詳しくは、下記バナーから詳細を見て頂くか、直接お問い合わせください。
※ご相談・ご予約は、下記よりお申込みください。
皆様のお申込みお待ちしております!
当院では、患者様が抱えていらっしゃるお口のお悩みや疑問・不安などにお応えする機会を設けております。どんな事でも構いませんので、私達にお話しして頂けたらと思います。
ご興味がある方は下記からお問い合わせください。
