

医院によっては自費治療をしきりに勧めてくることもあるかもしれませんが、保険治療内でも十分に歯周病治療に対応することは可能です。
歯周病治療は歯科医師だけの能力がクローズアップされがちですが、歯科医師だけでは改善させ、かつ、良好な状態を維持させることはできません。もちろん患者様の日々の口腔ケアも大切ですが、歯周病治療のプロである「歯科衛生士」の技量が治療の良し悪しに関して大きなウェイトを占めます。

当院には経験豊富な歯科衛生士(歯科衛生士の上位資格である本歯周病学会認定の歯科衛生士も在籍)が多数在籍しております。ケースによっては、そして優秀な歯科衛生士が担当すれば、治療にドクターが直接関与せずとも下記のように歯周病を改善し、良好な状態を長期的に維持させることも当院では可能です。
ここまで「保険適用内」での治療に関してご説明してきましたが、ケースによっては「自費」治療を選択された方がよりよい治療が行えることもあります。患者様にとっては「保険」と「自費」治療の違いに関してなかなか理解しづらい部分もあると思いますので、下記の「コラム」にて、歯周病治療に即してご説明させて頂きます。


保険治療の歯周病治療は、「噛むという機能性を回復」させることに主眼を置いた治療となります。そのため、歯肉の退縮により歯が長く見えてしまう症状や、歯並びが悪くなった症例までは対応できません。右のような状態ですね。
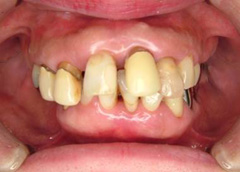
また、歯のぐらつきを押さえるために「歯周補綴」という手法を利用するのですが、保険治療では下記のような状態になります。
歯のぐらつきは抑えられるのですが、決して見た目が良いとは言えません。
しかし、自費治療(保険外治療)の場合、この「見た目」も同時に改善することが出来ます。いくつか症例をご紹介します。


歯周病の改善と、見た目の改善を希望された患者様です。歯周病治療だけですと「歯並び改善」と「総合的な美の獲得」は難しい症例でしたので、歯並びを正すために矯正治療、審美性を獲得するためにセラミックを利用したかぶせ物を利用し、お口全体を包括的に治療した症例となります。


こちらも歯周病改善とお口の美しさを希望された患者様です。歯周病を改善させた後、セラミックのブリッジを利用し治療を行いました。この症例では「噛み合わせ」も同時に改善しています。噛み合わせを改善しなければ歯周病が再発してしまう環境のままですので、当院では必ず咬み合わせを意識した包括的な治療計画を作成しています。
いかがでしょうか。
「噛むという機能性だけを回復させたい方」は保険治療でOKです。
しかし、「機能性」の他、「見た目の美しさ」も同時に改善したい方は自費治療をお勧めいたします。
もっと詳しく知りたい方は「見た目の美しさの回復」をご参照ください。
歯周病は「骨を溶かす病気」ですので、進行するとどんどん骨が溶かされ、歯がグラグラし始めます。保険治療ではそれぞれの歯を接着剤で固定することにより(歯周補綴)グラつきを抑えます。しかし、そもそもの原因である骨の状態を回復させる治療ではないので、根本的な解決にはなりません。
自費治療では、「骨を再生」させるため、根本の原因にアプローチする治療を行います。
当院では「エムドゲイン」という材料を活用します。
エムドゲインを簡単にご説明しますと、エムドゲインゲルという薬を患部に塗ることで、本来備わっている骨の再生能力を発揮させる療法です。
麻酔した上で、治療する部分の歯肉を切開します。
歯肉などの感染部分を清掃し、取り除きます。
歯を失った部分にエムドゲインを塗布します。
切開した歯肉部分を縫合します。


エムドゲインは、世界中で使用されている再生療法の中で最も信頼できる生体材料です。
厚生労働省の認可もされており、世界だけでなく、日本の学会でもその有用性が報告されています。当院ではこの再生療法を年間50症例以上実施し、日々検証しております。
もっと詳しく知りたい方は「歯周組織再生療法」をご参照ください。
自費治療に関してご説明しましたが、当院では「保険治療」だろうと、「自費治療」だろうと差を設けず、与えられた状況下で常に最善を尽くします。
それが、患者様への最低限の礼儀と考えます。
興味のあるボタンをクリックしてください。
患者様のご要望に合わせた当院の体制をご紹介しております。
当院では、患者様が抱えていらっしゃるお口のお悩みや疑問・不安などにお応えする機会を設けております。どんな事でも構いませんので、私達にお話しして頂けたらと思います。
ご興味がある方は下記からお問い合わせください。
